volver

 

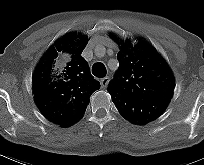
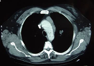
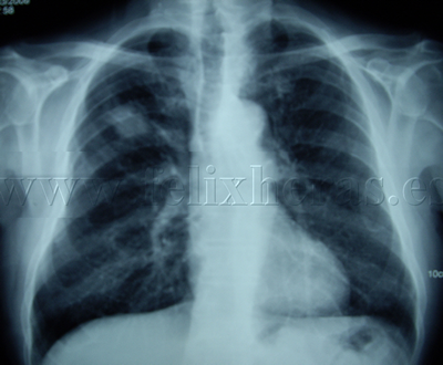
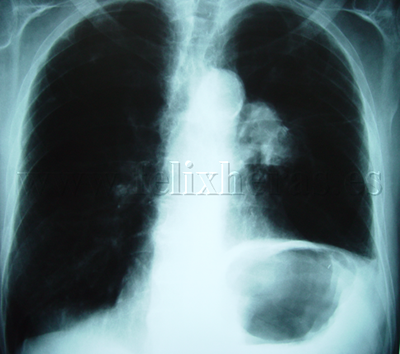
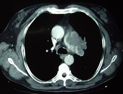
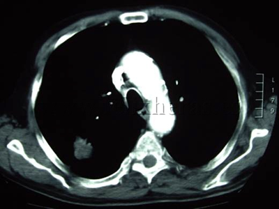
Cáncer de pulmón