volver
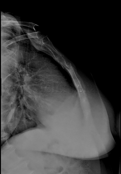
Fractura de esternón