volver
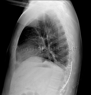
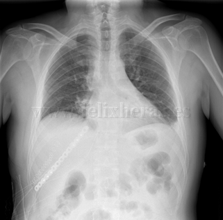
Osteosíntesis costal