volver
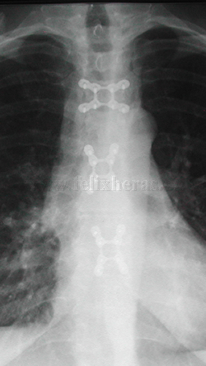
Osteosíntesis esternal