|
|
|
|
Patología
mediastínica |
|
|
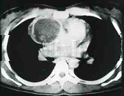
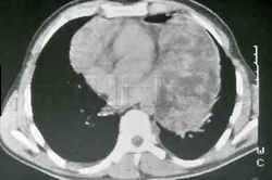
Timoma |
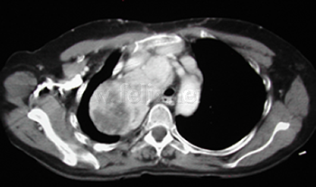
Seminoma |
|
Linfoma de células B |
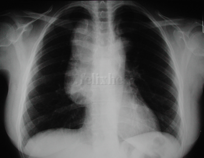
Bocio endotorácico |
|
Teratoma |
Timoma |
|
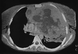
Angiosarcoma
|
Timoma |
|
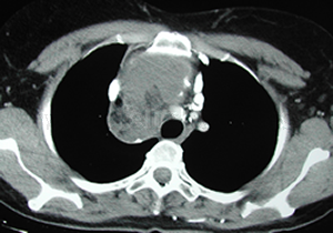
Linfoma Hodgkin |
Timoma |
|
Timoma |
Neurofibroma |
|
Quiste celómico |
Quiste pleuropericárdico |